Clinica
Pancreas
18/02/2025

Trapianto isole pancreatiche, da studio italiano indicazioni per migliorare efficienza

Questo studio evidenzia il potenziale del trapianto di isole nel migliorare la qualità della vita dei pazienti con diabete a lungo termine, fornendo al contempo preziose indicazioni per ottimizzare le future terapie cellulari

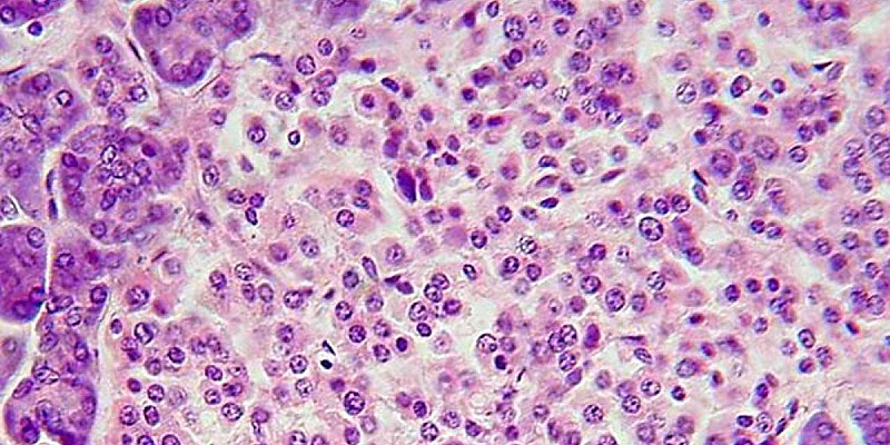
Langerhanssche_Insel

Un nuovo studio dell'Irccs San Raffaele di Milano delinea le indicazioni fondamentali per migliorare l'efficacia e la sicurezza del trapianto di isole pancreatiche e indirizzare le future terapie per il trattamento del diabete di tipo 1. Il lavoro è stato pubblicato su 'The Lancet Diabetes & Endocrinology' e analizza i pazienti con diabete di tipo 1 trattati al San Raffaele dal 2001 al 2023. Coordinato dal professor Lorenzo Piemonti, primario dell'Unità di Medicina Rigenerativa e dei Trapianti, direttore del Diabetes Research Institute dell'Irccs San Raffaele e docente di Endocrinologia di UniSR Università Vita-Salute San Raffaele, lo studio rappresenta una delle analisi retrospettive a singolo centro più ampie al mondo, con un follow-up di vent'anni, e fornisce importanti indicazioni per le future terapie di sostituzione delle cellule beta nei pazienti con diabete di tipo 1.

L'analisi "ha coinvolto 79 pazienti di età compresa tra i 18 e i 67 anni, rivelando che nei soggetti con diabete di tipo 1 trattati con una dose di isole pancreatiche di almeno 10.000 Ieq/kg e il protocollo immunosoppressivo αCD25/FK506/Rapa, si è ottenuto un significativo miglioramento nella sopravvivenza del trapianto e una maggiore indipendenza dall'insulina. In questo gruppo, la sopravvivenza mediana delle isole è stata di 9,7 anni, con il 72,7% dei pazienti che ha mantenuto l'indipendenza dall'insulina per un periodo tra i 6 e i 7 anni".

I dati complessivi "mostrano una sopravvivenza del trapianto dell'86% a un anno, del 65% a cinque anni e del 40% a vent'anni, a conferma dell'efficacia a lungo termine del trattamento. Tuttavia, lo studio ha evidenziato alcuni effetti collaterali associati alla terapia immunosoppressiva, come infezioni e riduzione della funzionalità renale, che richiedono un attento monitoraggio e interventi mirati per garantire la sicurezza a lungo termine dei pazienti", riporta lo studio.

"Questo studio evidenzia il potenziale del trapianto di isole nel migliorare la qualità della vita dei pazienti con diabete a lungo termine, fornendo al contempo preziose indicazioni per ottimizzare le future terapie cellulari, in particolare quelle basate sul differenziamento delle isole pancreatiche a partire da cellule staminali", ha spiegato il professor Lorenzo Piemonti.

"I risultati ottenuti non solo aiutano a comprendere meglio gli effetti dell'immunosoppressione, ma anche a determinare le dosi ottimali di isole per garantire trapianti sicuri ed efficaci. Questi dati sottolineano l'importanza di proseguire la ricerca per migliorare e perfezionare le terapie cellulari destinate ai pazienti con diabete di tipo 1, per garantire trattamenti sempre più efficaci e sostenibili nel lungo periodo", ha concluso Piemonti.

Long-term outcomes of pancreatic islet transplantation alone in type 1 diabetes: a 20-year single-centre study in Italy - The Lancet Diabetes & Endocrinology

Se l'articolo ti è piaciuto rimani in contatto con noi sui
nostri canali social seguendoci su:
Oppure rimani sempre aggiornato in ambito farmaceutico iscrivendoti alla nostra Newsletter!
POTREBBERO INTERESSARTI ANCHE
L’Agenzia richiama a un uso appropriato degli analoghi GLP-1 e dei doppi agonisti GIP/GLP-1: attenzione ai rischi dell’autosomministrazione e agli acquisti illegali online
Dopo le dichiarazioni del presidente pugliese Antonio Decaro sulla spesa farmaceutica, Fand difende il ruolo delle gliflozine nella prevenzione delle complicanze
La gestione del diabete di tipo 1 in età adolescenziale diventa particolarmente complessa quando si associa a un marcato incremento ponderale e a un fabbisogno insulinico in costante crescita.
La Federazione invita i pazienti a non interrompere autonomamente i farmaci agonisti del GLP-1 e richiama i benefici cardiovascolari e metabolici documentati dagli studi

Resta aggiornato con noi!
La tua risorsa per news mediche, riferimenti clinici e formazione.

I più letti della settimana
ANNUNCI
Offro lavoro | Tutta Italia
Edra Media ricerca un Medical Writer Freelance per:- Stesura di articoli scientifici da sottomettere a testate internazionali indicizzate- Realizzazione report...

EVENTI
Al via la 2° edizione Milan Longevity Summit, un laboratorio urbano per una vita più lunga e in salute
Edra S.p.A sarà media partner della seconda edizione del Milan Longevity Summit che si svolgerà a Milano dal 21 al...

AZIENDE
Eurosets presenta Landing Advance
Immagine in evidenza Eurosets presenta Landing Advance, un sistema completo e intuitivo che apre nuove frontiere nel campo del monitoraggio multiparametrico in cardiochirurgia...

Libreria
Il manuale è stato scritto per colmare una...
La radiologia senologica incarna un ramo dell'imaging di...
Negli ultimi anni, i progressi scientifici e clinici...
Questo manuale offre una panoramica aggiornata sul ruolo...
Questo testo vuole aiutare a comprendere la legge...
Corsi
Algoritmi di medicina di emergenza per le professioni sanitarie

Gli algoritmi relativi alla medicina di emergenza rappresentano una risorsa fondamentale per i professionisti sanitari che, ciascuno nel proprio ambito...


L’INTELLIGENZA ARTIFICIALE NELLA GESTIONE DELLE MALATTIE INFETTIVE

L’impatto dell’Intelligenza Artificiale (AI) e dei Big Data nel settore sanitario è innegabile. L’AI sta rivoluzionando la scoperta di farmaci, la...


Social media in medicina. Al via nuovo corso di formazione Fad

Edra, sempre attenta a garantire una formazione completa e adeguata alle esigenze del sistema salute, ha progettato il nuovo corso...


Progettare la cura con la medicina narrativa. Strumenti per un uso quotidiano

Introdurre la Medicina Narrativa nella progettazione dei percorsi di cura. Integrare la narrazione nel sistema cura e nel sistema persona...