Clinica
Ginocchio
25/06/2025

Le strutture mediali: ruolo eziopatogenetico, diagnosi e trattamento

Il legamento patello-femorale mediale è il principale stabilizzatore passivo contro la traslazione laterale della rotula nei primi 30° di flessione del ginocchio

Ecografia ginocchio

Tra le strutture anatomiche coinvolte nella stabilizzazione della rotula, quelle mediali rivestono un ruolo cruciale, in particolare il legamento patello-femorale mediale (MPFL).

Fig. 1: Vista mediale di un ginocchio flesso.
Anatomia del legamento patello-femorale mediale (MPFL).
(AMT: tendine del muscolo grande adduttore; ATT: tubercolo del tendine dell'adduttore; GTT: tubercolo del tendine del gastrocnemio; MPFL: legamento patello-femorale mediale; MQTFL: legamento femorale del tendine del quadricipite mediale.)

Il MPFL è il principale stabilizzatore passivo contro la traslazione laterale della rotula nei primi 30° di flessione del ginocchio. Anatomicamente, origina dall’epicondilo mediale femorale e si inserisce sul margine supero-mediale della rotula. In caso di lussazione rotulea, il MPFL risulta lesionato nel 80-90% dei casi, rendendolo un target fondamentale nella diagnosi e nel trattamento.
Dal punto di vista funzionale, il MPFL lavora in sinergia con il vasto mediale obliquo (VMO), componente muscolare che fornisce stabilizzazione attiva. Un deficit di questa unità funzionale può compromettere l’equilibrio rotuleo e favorire l’instabilità, soprattutto in presenza di fattori predisponenti come la displasia trocleare, la patella alta o l’aumento della distanza TA-GT (tuberosità tibiale - solco trocleare).
La diagnosi delle lesioni del MPFL si basa su RMN, che consente di visualizzare direttamente il legamento e le eventuali lesioni associate. Il trattamento varia in base alla gravità e alla recidiva: nelle forme acute isolate si può optare per un approccio conservativo, mentre nelle instabilità recidivanti è spesso indicata la ricostruzione del MPFL, intervento che ha dimostrato ottimi risultati clinici e funzionali nel ripristino della stabilità rotulea.

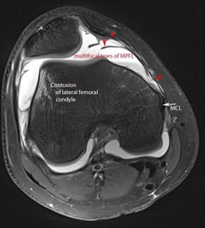
Fig 2: Rottura MPFL in RMN e relativo edema osseo del condilo femorale esterno

Recentemente è stata descritta una nuova struttura che fa parte del complesso mediale e che contribuisce alla stabilizzazione mediale della rotula, il MQTFL (medial quadriceps tendon femoral ligament). Questo legamento connette il versante mediale del tendine quadricipitale al versante mediale del femore, svolgendo una funzione di supporto dinamico e passivo in sinergia con il MPFL. Il suo ruolo è particolarmente rilevante nelle tecniche chirurgiche di ricostruzione “anatomica”, che mirano a ripristinare non solo la funzione statica del MPFL ma anche la continuità funzionale con il compartimento estensore mediale. Ad oggi alcuni chirurghi prediligono la ricostruzione del MQTFL rispetto al MPFL per evitare gesti chirurgici sulla rotula. 

Fig 2: Tecnica di ricostruzione del MQTFL (medial quadriceps tendon femoral ligament).


In conclusione, le strutture mediali del ginocchio, e in particolare il MPFL, sono determinanti per la biomeccanica della rotula. Una corretta valutazione clinica e radiologica permette un trattamento mirato, riducendo il rischio di recidiva e migliorando la qualità di vita del paziente.


Bibliografia:
- Chahla J, Smigielski R, LaPrade RF, Fulkerson JP. An Updated Overview of the Anatomy and Function of the Proximal Medial Patellar Restraints (Medial Patellofemoral Ligament and the Medial Quadriceps Tendon Femoral Ligament). Sports Med Arthrosc Rev. 2019
- LaPrade MD, Kallenbach SL, Aman ZS, Moatshe G, Storaci HW, Turnbull TL, Arendt EA, Chahla J, LaPrade RF. Biomechanical Evaluation of the Medial Stabilizers of the Patella. Am J Sports Med. 2018
- Cao H, An Q, Gou B, Ma S, Goh EL, Xiong L, Li YG, Ao F. A new classification of injury patterns of the medial patellofemoral ligament after acute lateral patella dislocation detected using magnetic resonance imaging studies. Injury. 2019
- Ferrua P, Kruckeberg BM, Pasqualotto S, Berruto M, Randelli P, Arendt EA. Proximal medial patellar restraints and their surgical reconstruction. J Orthop Traumatol. 2019

Se l'articolo ti è piaciuto rimani in contatto con noi sui
nostri canali social seguendoci su:
Oppure rimani sempre aggiornato in ambito farmaceutico iscrivendoti alla nostra Newsletter!
POTREBBERO INTERESSARTI ANCHE
Ricostruzione del legamento crociato anteriore in fase acuta entro 14 giorni: risultati clinici, complicanze e predittori di fallimento in 203 pazienti con follow-up minimo di 2 anni

Resta aggiornato con noi!
La tua risorsa per news mediche, riferimenti clinici e formazione.

I più letti della settimana
ANNUNCI
Altro | Toscana
stanza con accesso anche per disabili, studio piano terra vicino poste di San Marco (Prato)affitto mensile per 2/3/4 mezze giornate...

EVENTI
Al via la 2° edizione Milan Longevity Summit, un laboratorio urbano per una vita più lunga e in salute
Edra S.p.A sarà media partner della seconda edizione del Milan Longevity Summit che si svolgerà a Milano dal 21 al...

AZIENDE
Eurosets presenta Landing Advance
Immagine in evidenza Eurosets presenta Landing Advance, un sistema completo e intuitivo che apre nuove frontiere nel campo del monitoraggio multiparametrico in cardiochirurgia...

Libreria
Il manuale è stato scritto per colmare una...
La radiologia senologica incarna un ramo dell'imaging di...
Negli ultimi anni, i progressi scientifici e clinici...
Questo manuale offre una panoramica aggiornata sul ruolo...
Questo testo vuole aiutare a comprendere la legge...
Corsi
Algoritmi di medicina di emergenza per le professioni sanitarie

Gli algoritmi relativi alla medicina di emergenza rappresentano una risorsa fondamentale per i professionisti sanitari che, ciascuno nel proprio ambito...


L’INTELLIGENZA ARTIFICIALE NELLA GESTIONE DELLE MALATTIE INFETTIVE

L’impatto dell’Intelligenza Artificiale (AI) e dei Big Data nel settore sanitario è innegabile. L’AI sta rivoluzionando la scoperta di farmaci, la...


Social media in medicina. Al via nuovo corso di formazione Fad

Edra, sempre attenta a garantire una formazione completa e adeguata alle esigenze del sistema salute, ha progettato il nuovo corso...


Progettare la cura con la medicina narrativa. Strumenti per un uso quotidiano

Introdurre la Medicina Narrativa nella progettazione dei percorsi di cura. Integrare la narrazione nel sistema cura e nel sistema persona...