Clinica
Spalla
25/03/2026

Trattamento del primo episodio di instabilità anteriore post traumatica

La gestione del primo episodio di instabilità anteriore post traumatica della spalla rappresenta un argomento di grande attualità, in particolare per quella parte di popolazione rappresentata da pazienti giovani e da atleti ad alto rischio

25662736167_378a1dae6f_b

L’instabilità anteriore della spalla rappresenta una patologia molto frequente nella medicina sportiva, soprattutto nei giovani maschi e negli atleti.

Recenti studi biomeccanici hanno dimostrato come già dopo una singola lussazione, si verifichi un’alterazione della cinematica articolare con una modifica della biomeccanica a cui consegue l’aumento del rischio di instabilità recidivante.

Per questo motivo la gestione del primo episodio di instabilità anteriore post traumatica della spalla rappresenta un argomento di grande attualità, in particolare per quella parte di popolazione rappresentata da pazienti giovani e da atleti ad alto rischio.

Lo sviluppo di una strategia di trattamento richiede la comprensione delle specifiche caratteristiche del paziente, compresi i dati demografici, le richieste funzionali ed il quadro anatomo-patologico. Ognuno di questi aspetti può influenzare il tasso di recidiva ed il ritorno all’attività.

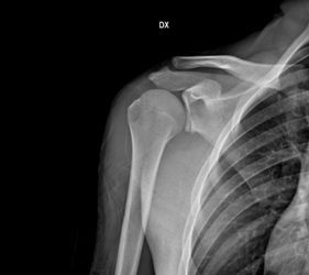
Se il trattamento conservativo prevede l’immobilizzazione in tutore della spalla per un periodo di 2-3 settimane ed il successivo percorso riabilitativo, il trattamento chirurgico considera molteplici opzioni, artroscopiche o a cielo aperto, sia di stabilizzazione capsulo-legamentosa (Intervento di Bankart ed eventuale Remplissage) che di augmentation osseo (Bone Block, Latarjet) in base al tipo di lesione diagnosticata nello studio pre-operatorio (Fig. 1) ed ai fattori di rischio considerati.

Fig. 1: Immagine Tc di paziente con lesione bony bankart dopo primo episodio di instabilità anteriore post traumatica in paziente maschio di anni 20, sportivo

Una recente review evidenzia come dopo la riparazione artroscopica sec. Bankart, i pazienti abbiano evidenziato un tasso di recidiva di lussazione significativamente inferiore rispetto ai pazienti trattati conservativamente (7,5% vs 53,0%), ugualmente per l’incidenza di sublussazione post-op (3,1% vs 24,2%), il test di apprensione positivo (7,3% vs 25,8%) ed in particolare ha evidenziato un ritorno all’attività sportiva superiore nei pazienti sottoposti a trattamento chirurgico (83.5% vs. 66.0%).

La recente Letteratura suggerisce quindi come il trattamento chirurgico fornisca, in gruppi di pazienti selezionati, risultati migliori rispetto al trattamento conservativo in termini di rischio di recidiva e scores clinici.

La strategia di trattamento deve quindi essere individualizzata considerando tutti gli elementi coinvolti, per ridurre il rischio di recidiva, favorendo il ritorno allo sport ed alla funzionalità articolare.

Sono necessari ulteriori studi per stabilire algoritmi di trattamento personalizzati con l’obiettivo di ottenere risultati favorevoli a lungo termine

Bibliografia:

Waterman B, Owens BD, Tokish JM. Anterior shoulder instability in the military athlete. Sport Health 2016;8(6):514–9.

Nakagawa S, Hirose T, Uchida R, Tanaka M, Mae T. Postoperative recurrence of instability after arthroscopic Bankart repair for shoulders with primary instability compared with recurrent instability: influence of bipolar bone defect size. Am J Sports Med 2020;48(1):48–55.

Alessandra Scaini

ASST Spedali Civili Brescia

Se l'articolo ti è piaciuto rimani in contatto con noi sui
nostri canali social seguendoci su:
Oppure rimani sempre aggiornato in ambito farmaceutico iscrivendoti alla nostra Newsletter!
POTREBBERO INTERESSARTI ANCHE
Negli ultimi decenni, la ricerca di tecniche sempre più efficaci e meno invasive ha portato allo sviluppo di procedure innovative, tra cui l’intervento di Remplissage
Nel 2002 Gerber ha introdotto una classificazione che divide l’instabilità in tre classi: statica, dinamica e volontaria
I risultati clinici dei trattamenti, sia conservativi che chirurgici, risultano spesso incerti e difficilmente prevedibili, soprattutto per quanto riguarda il ritorno allo sport ai livelli di prestazione precedenti all’infortunio
Viene anche definita “la trappola diagnostica” perché spesso può essere misconosciuta ad un esame radiografico non eseguito correttamente

Resta aggiornato con noi!
La tua risorsa per news mediche, riferimenti clinici e formazione.

I più letti della settimana
ANNUNCI
Offro lavoro | Friuli-Venezia Giulia
Karmamed, centro sanitario d'eccellenza situato a Gemona del Friuli, ricerca igienista dentale con esperienza da inserire nel nostro team.Requisiti richiesti:-...

EVENTI
Al via la 2° edizione Milan Longevity Summit, un laboratorio urbano per una vita più lunga e in salute
Edra S.p.A sarà media partner della seconda edizione del Milan Longevity Summit che si svolgerà a Milano dal 21 al...

AZIENDE
Eurosets presenta Landing Advance
Immagine in evidenza Eurosets presenta Landing Advance, un sistema completo e intuitivo che apre nuove frontiere nel campo del monitoraggio multiparametrico in cardiochirurgia...

Libreria
Il manuale è stato scritto per colmare una...
La radiologia senologica incarna un ramo dell'imaging di...
Negli ultimi anni, i progressi scientifici e clinici...
Questo manuale offre una panoramica aggiornata sul ruolo...
Questo testo vuole aiutare a comprendere la legge...
Corsi
Algoritmi di medicina di emergenza per le professioni sanitarie

Gli algoritmi relativi alla medicina di emergenza rappresentano una risorsa fondamentale per i professionisti sanitari che, ciascuno nel proprio ambito...


L’INTELLIGENZA ARTIFICIALE NELLA GESTIONE DELLE MALATTIE INFETTIVE

L’impatto dell’Intelligenza Artificiale (AI) e dei Big Data nel settore sanitario è innegabile. L’AI sta rivoluzionando la scoperta di farmaci, la...


Social media in medicina. Al via nuovo corso di formazione Fad

Edra, sempre attenta a garantire una formazione completa e adeguata alle esigenze del sistema salute, ha progettato il nuovo corso...


Progettare la cura con la medicina narrativa. Strumenti per un uso quotidiano

Introdurre la Medicina Narrativa nella progettazione dei percorsi di cura. Integrare la narrazione nel sistema cura e nel sistema persona...