Clinica
Menisco
30/07/2025

Il Menisco Discoide

Per menisco discoide si intende una variazione congenita della sua forma, caratterizzata da un’ipertrofia centrale e da un diametro maggiore del normale, che comporta la perdita della classica configurazione a “C”

osteomielite ginocchio

I menischi sono strutture fibrocartilaginee, composte principalmente da collagene di tipo I, le cui funzioni includono: la trasmissione delle forze, l’aumento della congruenza articolare e la stabilizzazione secondaria del ginocchio.

Il menisco mediale ha forma a “C” ed è strettamente connesso alla capsula articolare circostante; il menisco laterale, invece, ha una forma più circolare ed è caratterizzato da una maggiore mobilità a causa di minori inserzioni capsulari.

Per menisco discoide si intende una variazione congenita della sua forma, caratterizzata da un’ipertrofia centrale e da un diametro maggiore del normale, che comporta la perdita della classica configurazione a “C”.

La condizione venne descritta per la prima volta nel 1889 da Young, sulla base di studi autoptici, e inizialmente interessava esclusivamente il menisco laterale; successivamente, nel 1930, Watson-Jones descrisse anche il menisco discoide mediale, però come una variante estremamente rara.

Infatti, il menisco discoide laterale presenta un’incidenza che varia approssimativamente dallo 0,4% al 17%, mentre il menisco mediale discoide è raramente riscontrato, con un’incidenza compresa tra 0,06% e valori molto inferiori.

Più di uno studio ha evidenziato una sua maggiore presentazione nelle popolazioni asiatiche (10–15%) rispetto a quelle occidentali (3–5%); frequenti i casi di coinvolgimento bilaterale (15–25% dei pazienti).

Watanabe et al proposero per la prima volta nel 1969 una classificazione (Fig.1) del menisco laterale discoide (DLM) basata sull’aspetto artroscopico: Tipo I forma discoide completa, con normali inserzioni posteriori coronali, Tipo II forma incompleta (copertura non superiore all’80%), Tipo III forma normale o leggermente discoide con instabilità per assenza della fissazione coronale posteriore (variante di Wrisberg).

Nonostante l’ampia accettazione iniziale, la classificazione di Watanabe ha visto una progressiva perdita di rilevanza clinica, ed oggi si tende a classificare il menisco discoide in base ai seguenti criteri: la sua morfologia (completo o incompleto), la stabilità periferica (stabile o instabile) e infine la presenza o assenza di lesioni meniscali.

I menischi discoidi sono solitamente asintomatici a meno che non siano instabili o lesionati.

In tal caso possono manifestarsi con il tipico “snapping o click” articolare, associato o meno a versamento articolare, dolore in emirima, test meniscali positivi e nei casi più gravi blocco articolare fisso o recidivante.

La clinica solitamente varia in intensità e durata, e dipende dal tipo di rottura, dal grado di instabilità periferica, dall’attività e dall’età del paziente; nei bambini spesso la progressione dei sintomi è lenta ed insidiosa.

Nel sospetto di menisco discoide è importante un accurato esame obiettivo comprendente l’ispezione della deambulazione e dello schema del passo, la valutazione della presenza di un eventuale versamento o della “tipica” protuberanza antero-laterale, la valutazione della motilità e i test meniscali classici (es. McMurray o Apley) che saranno positivi in caso di lesione.

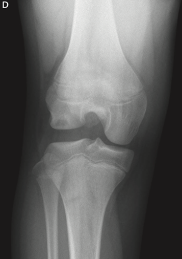
Un esame radiiografico in protezione AP e LL di ginocchio gioca un ruolo importante in primis per la diagnosi differenziale con altre patologie; in secondo luogo, poiché si possono apprezzare dei pattern radiografici tipici come ad esempio: il cosiddetto “Squaring” del condilo femorale laterale (Fig 2), l’ampliamento dell’interlinea femoro-tibia, la concavità del piatto tibiale laterale, l’ipoplasia della spina tibiale laterale, l’incremento dell’altezza della testa del perone.

La risonanza magnetica (RM) rappresenta il gold-standard per la conferma diagnostica e per la pianificazione preoperatoria, in quanto consente di caratterizzare accuratamente la morfologia e la stabilità del menisco, identificare le eventuali lesioni associate concomitanti (Fig 3).

In accordo con Yang et al., esistono tre principali indicazioni per l’approccio conservativo nel trattamento del menisco discoide: se la lesione è asintomatica e quindi rilevata in modo incidentale; se la sintomatologia clinica è lieve e non compromette le attività quotidiane e lo svolgimento di attività sportive di base; e infine se i sintomi severi sono riconducibili a una patologia concomitante, come osteoartrosi o artrite reumatoide, in cui il trattamento del menisco discoide non rappresenta la priorità terapeutica.

Al contrario i pazienti sintomatici o con lesioni ad alto rischio evolutivo possono necessitare di un intervento chirurgico. Attualmente, il trattamento di riferimento è rappresentato dalla chirurgia artroscopica di plastica meniscale (saucerizzazione e/o stabilizzazione), con lo scopo di ricreare la morfologia anatomica più vicina a quella di un menisco normale, al fine di preservarne la funzione biomeccanica e ridurre il rischio di complicanze degenerative a lungo termine; sebbene vi sia ancora dibattito sulla quantità di menisco da preservare, la maggior parte degli autori concorda sul fatto che sia opportuno mantenere una porzione periferica compresa tra 6 mm e 8 mm. È importante ispezionare accuratamente il tessuto meniscale residuo al fine di identificare eventuali instabilità o lesioni residue, che dovranno essere riparate utilizzando una combinazione di tecniche di sutura diverse in base alle diverse porzioni del menisco.

Purtroppo, ancora oggi, in base al tipo di lesione e al grado di degenerazione del tessuto meniscale, in alcuni pazienti con diagnosi e trattamento tardivo può rendersi inevitabile una meniscectomia totale o subtotale; il successivo trapianto meniscale omologo può trovare indicazione in pazienti sintomatici con elevate richieste funzionali e sportive.

Alberto Castelli, Gianmarco Vianello
Clinica ortopedica e traumatologica, IRCCS Policlinico San Matteo di Pavia

Se l'articolo ti è piaciuto rimani in contatto con noi sui
nostri canali social seguendoci su:
Oppure rimani sempre aggiornato in ambito farmaceutico iscrivendoti alla nostra Newsletter!
POTREBBERO INTERESSARTI ANCHE
La nuova generazione di medici, composta in larga misura da nativi digitali della Generazione Z, porta con sé una naturale propensione all’uso delle tecnologie e un’attenzione diversa all’equilibrio tra vita privata e impegno professionale
I dati suggeriscono un cambiamento nelle strategie riabilitative verso approcci più conservativi, probabilmente influenzati dall’evidenza che un RTP ritardato riduca il rischio di recidiva
La distorsione di caviglia non deve essere considerata un trauma minore, ma un potenziale evento iniziale di instabilità cronica e degenerazione articolare
Il punto cardine della gestione moderna del LCA pediatrico è la corretta valutazione dell’età scheletrica e della crescita residua del ginocchio

Resta aggiornato con noi!
La tua risorsa per news mediche, riferimenti clinici e formazione.

I più letti della settimana
ANNUNCI
Offro lavoro | Sicilia
Aristeia Farmaceutici è un'azienda farmaceutica italiana specializzata nella realizzazione di integratori alimentari, dispositivi medici e cosmetici. Per il potenziamento della propria rete,...

EVENTI
Al via la 2° edizione Milan Longevity Summit, un laboratorio urbano per una vita più lunga e in salute
Edra S.p.A sarà media partner della seconda edizione del Milan Longevity Summit che si svolgerà a Milano dal 21 al...

AZIENDE
Eurosets presenta Landing Advance
Immagine in evidenza Eurosets presenta Landing Advance, un sistema completo e intuitivo che apre nuove frontiere nel campo del monitoraggio multiparametrico in cardiochirurgia...

Libreria
Il manuale è stato scritto per colmare una...
La radiologia senologica incarna un ramo dell'imaging di...
Negli ultimi anni, i progressi scientifici e clinici...
Questo manuale offre una panoramica aggiornata sul ruolo...
Questo testo vuole aiutare a comprendere la legge...
Corsi
Algoritmi di medicina di emergenza per le professioni sanitarie

Gli algoritmi relativi alla medicina di emergenza rappresentano una risorsa fondamentale per i professionisti sanitari che, ciascuno nel proprio ambito...


L’INTELLIGENZA ARTIFICIALE NELLA GESTIONE DELLE MALATTIE INFETTIVE

L’impatto dell’Intelligenza Artificiale (AI) e dei Big Data nel settore sanitario è innegabile. L’AI sta rivoluzionando la scoperta di farmaci, la...


Social media in medicina. Al via nuovo corso di formazione Fad

Edra, sempre attenta a garantire una formazione completa e adeguata alle esigenze del sistema salute, ha progettato il nuovo corso...


Progettare la cura con la medicina narrativa. Strumenti per un uso quotidiano

Introdurre la Medicina Narrativa nella progettazione dei percorsi di cura. Integrare la narrazione nel sistema cura e nel sistema persona...